• 葆蒂兰网群
新闻动态 News

把痰咽下去也能伤害身体!这个消化道结核病你知道吗?

日期: 2023-05-26
浏览次数: 102
分享到:

世界卫生组织发布的《2022年全球结核病报告》显示,2021年全球1060万人罹患结核病。


我国2021年估算的结核病新发患者数为78.0万,估算结核病发病率为55/10万,在30个结核病高负担国家中我国估算结核病发病数排第3位。



把痰咽下去也能伤害身体!这个消化道结核病你知道吗?




1882年的3月24日,世界病原细菌学的奠基人和开拓者、德国著名科学家罗伯特·科赫博士在柏林宣布发现结核病的致病元凶是结核杆菌。


2023年3月24日是第28个世界防治结核病日,国家疾病预防控制局发布的宣传主题是:“你我共同努力,终结结核流行”。




结核病的传播及消化道结核




结核病是一种由结核分枝杆菌引起的常见的慢性传染病。除了头发和指甲外,身体任何其他部位,如淋巴结、骨骼、关节、皮肤等都可以被结核分枝杆菌侵犯,但最常侵犯的部位是肺部,称为肺结核。


结核病的传染途径主要是呼吸道传染,传染源为痰涂片阳性的肺结核病人,其咳嗽、打喷嚏、大声讲话时喷出带有结核菌的飞沫,健康人吸入肺部造成感染而得结核病。




把痰咽下去也能伤害身体!这个消化道结核病你知道吗?




一旦吞咽了带有大量结核菌的痰液,结核菌就轻松的进入消化道,形成消化道结核。消化道结核病占体内结核病的第二位。


肠结核是消化道常见病之一,在抗结核药问世之前死于肺结核病例尸检51.1%~90%并发肠结核,其发病年龄以青壮年居多。




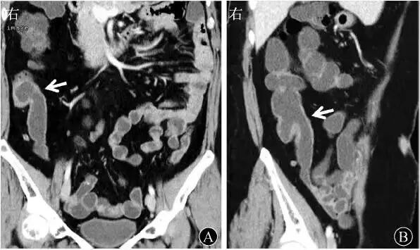
肠结核是由于结核菌侵犯肠管而引起的慢性特异性感染。好发部位以回盲部为多见,可占肠结核的85%~90%。




肠道结核的发病机制




结核菌首次侵入,进入胃部后多数被胃酸灭活,极少数结核菌可到达肠道,乃聚集在粘膜深部淋巴滤泡中,可形成小结核结节的原发病灶。


原发病灶的扩大,干酪坏死使肠管破坏,造成溃疡。同时该区域肠系膜淋巴结亦发生结核病变。肠结核的好发部位依次为回盲部、升结肠、回肠、空肠、阑尾、横结肠、降结肠、十二指肠、乙状结肠。


回盲部好发的原因有其解剖因素,回盲部淋巴组织最为丰富,结核菌从淋巴组织侵入肠壁形成结核病灶;也有其生理因素,肠内容物在通过回盲部时由于生理潴留作用,停留时间较长使结核杆菌与肠粘膜接触时间增多。


同时肠内容物损害致粘膜损伤,有利于结核菌侵入。




把痰咽下去也能伤害身体!这个消化道结核病你知道吗?





结核菌侵犯肠道有三条途径:


①消化道感染:肺结核患者不断咽下含有结核杆菌的痰液,结核菌有可能直接侵入肠道;


或者患者食入含结核菌的食物,如消毒措施不严的牛奶,此时牛型结核杆菌可能为其主要病原菌,是儿童原发性肠结核的主要原因。


和肠结核患者共餐食入结核菌也是原发肠结核的原因。


②血源性:即血行感染,常发生在血行播散性结核病患者;


③直接蔓延:肠道周围器官的结核病灶,直接累及肠管造成肠结核,如由盆腔结核、结核性腹膜炎,肠系膜淋巴结核以及肾结核等直接蔓延而发病者较为常见。




肠道结核的临床表现




肠结核一般起病缓慢,早期症状不明显,易被忽视,全身症状表现为发热、盗汗、消瘦、乏力等结核病中毒症状。消化道症状主要如下:




把痰咽下去也能伤害身体!这个消化道结核病你知道吗?





① 腹胀


为肠结核的早期症状,饭后腹胀多见,伴有消化不良,食欲减退、恶心、呕吐。增殖性肠结核多见。


② 腹泻与便秘


腹泻为肠结核最常见症状,大便多为稀水样或糊状,一日数次或十几次,多在腹痛后出现。腹泻可持续多日或间歇性腹泻,每隔2~3周腹泻数日。


腹泻与便秘交替是肠道功能紊乱的结果。溃疡性直肠结核腹痛重,腹泻大便可见黏液或脓血便,增殖性肠结核便秘多见。


③ 腹痛


为主要常见症状,约占80%~90%。为慢性腹痛,回盲部最常见,也可在下腹部,脐周或者全腹痛。一般为隐痛,有时为绞痛,进食可以诱发或者加重。呕吐或腹泻后疼痛可以暂时缓解。


增殖型小肠结核多为间歇性隐痛,溃疡型小肠结核腹痛较重,局部可有压痛,但无反跳痛。回盲部增殖型肠结核可触及肿块且有局部疼痛。


④ 腹块


30%~60%的肠结核可触及肿块,多见于右下腹,质较硬,相对固定,表面不平,形态多样,有压痛。


腹块常由结核性肉芽肿、纤维组织、病变增厚的肠袢与周围组织粘连或肿大的肠系膜淋巴结组成。




肠结核的早期病变是可逆的,病灶内血供丰富,结核菌生长旺盛,机体抵抗力强,抗结核药物能够充分发挥作用,避免组织大量破坏,促进病灶完全吸收。


可根据病人情况选择合理饮食,注意营养均衡,卧床休息,对症治疗。



News / 推荐新闻 More
2026 - 03 - 14
生存法则(一):——工作无借口引言:借口是成长的天花板,责任是卓越的地基在构建了完整的价值观体系与行为导向之后,我们必须直面商业世界中最残酷也最真实的法则——生存法则。这并非危言耸听,而是对企业生命规律的清醒认知。生存法则之首,即是 “工作无借口”。这不仅仅是一条纪律要求,更是每一位葆蒂兰人必须具备的底层思维模式和生存态度。我们深知:在健康与美的庄严事业中,客户托付的是身体与信任,市场检验的是结果与价值。任何借口——无论它听起来多么合理——在事实与结果面前,都苍白无力,且会侵蚀信任、瓦解团队、窒息成长。在葆蒂兰,我们不允许借口存在,因为它与我们“为爱而生”的使命、“与美同行”的承诺、及迈向120年企业的雄心,根本对立。1为何“工作无借口”是生存第一法则?借口,是对客户信任的背叛· 健康事业不容“理由”: 当一位客户因我们的方案而满怀期待时,她需要的不是一个“因为某某原因...
2026 - 03 - 14
四大导向(四)——以结果为导向:让价值清晰可见引言:结果是价值的最终刻度在确立了市场、客户、荣誉三大导向之后,我们必须明确衡量一切努力与方向的终极标尺——结果。以结果为导向,并非功利主义,而是对“创造真实价值”这一商业本质的深刻尊重与严肃承诺。它要求我们的所有热忱、智慧与行动,最终都必须凝结为可感知、可衡量、可交付的价值成果。在葆蒂兰,我们坚信:美好的愿景与使命,必须通过实实在在的结果来兑现;伟大的文化与价值观,必须在卓越的成果中得以彰显。结果,是我们对客户承诺的答卷,是对团队付出的回响,更是对“为爱而生,与美同行”这一使命最有力的实践。01核心原则一:定义清晰,衡量精准——对准价值的靶心模糊的目标无法产生清晰的结果。以结果为导向,始于对“何为真正结果”的精准定义。01· 为何必须清晰定义:1、凝聚共识,力出一孔: 清晰、共识的目标,能将分散的努力汇聚到创造核心价值的主航道上,避...
2026 - 03 - 14
四大导向(三):——以荣誉为导向:用尊严铸就品牌丰碑引言:荣誉,是最高阶的内心秩序在确立了以市场为导航、以客户为中心的战略导向后,我们必须向内探寻驱动组织持续卓越的深层动力——这便是以荣誉为导向。荣誉,绝非虚荣与浮名,而是一个组织与其成员对自身价值、品格与贡献的庄严定义与集体敬畏。它源于外在认可,但根植于内在确信。在葆蒂兰,我们坚信:真正的荣誉感,是我们对“为爱而生”使命的最高致敬,是对“与美同行”旅程的尊严捍卫,是驱动我们穿越百年征途的永恒心火。我们追求的荣誉,具体体现为三个不可动摇的坚守:维护葆蒂兰品牌商誉、维护葆蒂兰人正直品格、维护葆蒂兰人奋斗精神。1核心守护一:维护葆蒂兰品牌商誉——视品牌为生命品牌商誉,是客户与伙伴用信任为我们浇筑的无形丰碑,是我们最珍贵的集体资产。 为何它是生命的延伸:1、商誉即承诺: “葆蒂兰”三个字,向外界承诺的是专业、安全、有效与真诚。每一次服务...
2026 - 03 - 13
四大导向(二):以客户为导向:从交易到托付的生命关系引言:所有商业的终点,都是人心在明确了“以市场为导向”让我们看清战场全局与竞争坐标之后,我们必须将目光聚焦到这场战争中最核心、最根本的单元——客户。市场由无数具体的客户组成,但赢得市场,本质上是赢得每一个具体客户的信任与选择。因此,我们确立“四大导向”的第二支柱:以客户为导向。这标志着我们的思维与行动,从关注宏观的“战场”,深入到微观的“人心”;从追求份额与数据,升维到经营信任与托付。我们坚信:客户不是我们工作的打扰者,而是我们工作的目的;不是冰冷的“资源”,而是我们所有价值得以成立的最终证明。在葆蒂兰,一切商业活动的最高准则是——以客户为中心,以终为始。核心原则一:客户是我们所有价值的终极裁判任何产品、服务或模式的价值,不由我们内部定义,而由客户的体验与选择最终裁决。· 为何这是根本逻辑:1、 价值的主观性: 价值的本质是客户...
地址:中国·深圳·宝安中心区·宝源路F518时尚创意园15栋3层
热线电话: 400-808-1953
传真:+86 0755-2788 8009
邮编:330520
葆蒂兰(上海)投资管理有限公司  版权所有      法律声明


犀牛云提供企业云服务